南溪100歲老太在我院成功接受股骨頭置換術
發布時間:2019-05-22 閱讀:4000 南溪鎮百歲高齡的林老太因不慎跌倒,緻左側股骨粗隆間、股骨上段粉碎性骨折,随後,在我院成功接受股骨頭置換術,又重新站立起來,現已康複出院了。其家屬感激萬分,于5月13日送來錦旗,對外四科醫護人員表達衷心的感謝。
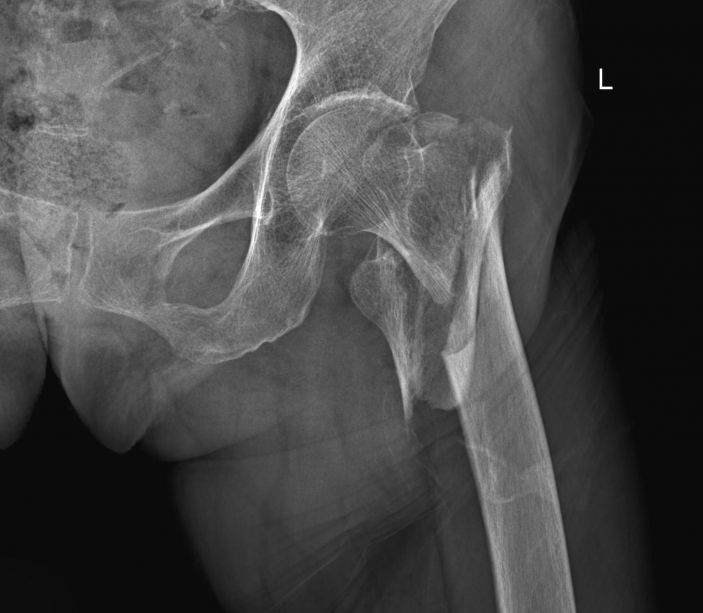
據了解,林老太于4月18日在家不慎跌倒,左臀着地,緻左髋關節活動受限,左下肢外旋90度畸形,無法站立。家人随即将老太送往我院,收住外四科。經CT+三維重建顯示爲左側股骨粗隆間、股骨上段粉碎性骨折。由于老太已到期頤之年,骨折較嚴重,其家屬異常擔心。
40月20日,林老太各項生命體征平穩,可耐受手術。在充分的術前準備後,外四科主任吳志斌帶領團隊爲林老太實施手術治療。吳主任充分考慮老人家的骨折特點,采用人工股骨頭置換術,術中給予安裝雙動人工股骨頭,複位髋關節,并仔細把控每一個細節,确保髋部良好的活動性和穩定性,以及雙下肢等長,手術十分成功。
經過我院醫護人員的悉心診治,林老太太恢複良好,并于5月8日康複出院了。
高齡患者常常合并各種老年性疾病,對醫院多學科配合和手術專家的技術都提出很高要求。我院骨科對高齡患者的診治具有豐富經驗,從去年至今收治了多位百歲高齡的骨折患者,部分高齡患者還是由其它三甲醫院轉至我院治療的。這些老人家均在我院成功接受手術治療,重新站立起來回歸生活。
外四科(骨科)主任,主任醫師,醫學碩士,南方醫科大學兼職教授。
廣東省第一批中醫藥傑出青年醫學人才。廣東省中醫藥學會脊柱病專業委員會常委,廣東省中西醫結合學會骨傷科專業委員會和關節病專業委員會委員,普甯市專業技術拔尖人才,在省内享有較高學術聲譽。
熟練開展四肢骨折手術治療,頸、胸腰椎骨折内固定術,椎間孔鏡下椎間盤摘除術、椎體成形術、脊柱融合術、脊柱矯形術,以及各種關節置換術、關節鏡下前交叉韌帶重建術等脊柱微創手術和關節微創手術,複雜骨盆、髋臼骨折及各種皮瓣移植手術。擅長中西醫治療各種頸椎腰腿痛疾病及股骨頭壞死、類風濕關節炎等疾病。

△林老太家屬送來的錦旗
據了解,林老太于4月18日在家不慎跌倒,左臀着地,緻左髋關節活動受限,左下肢外旋90度畸形,無法站立。家人随即将老太送往我院,收住外四科。經CT+三維重建顯示爲左側股骨粗隆間、股骨上段粉碎性骨折。由于老太已到期頤之年,骨折較嚴重,其家屬異常擔心。
外四科随即組織專家會診以及進行綜合治療。對高齡患者來說,如果采用保守治療骨折愈合慢,且長期卧床易誘發各類并發症而危及生命。外四科主任吳志斌認爲盡早手術讓老太太能盡早下床活動爲最佳方案,家屬同意手術治療。

△術前

△術後

△術後
40月20日,林老太各項生命體征平穩,可耐受手術。在充分的術前準備後,外四科主任吳志斌帶領團隊爲林老太實施手術治療。吳主任充分考慮老人家的骨折特點,采用人工股骨頭置換術,術中給予安裝雙動人工股骨頭,複位髋關節,并仔細把控每一個細節,确保髋部良好的活動性和穩定性,以及雙下肢等長,手術十分成功。
經過我院醫護人員的悉心診治,林老太太恢複良好,并于5月8日康複出院了。
高齡患者常常合并各種老年性疾病,對醫院多學科配合和手術專家的技術都提出很高要求。我院骨科對高齡患者的診治具有豐富經驗,從去年至今收治了多位百歲高齡的骨折患者,部分高齡患者還是由其它三甲醫院轉至我院治療的。這些老人家均在我院成功接受手術治療,重新站立起來回歸生活。

吳志斌主任簡介
外四科(骨科)主任,主任醫師,醫學碩士,南方醫科大學兼職教授。
廣東省第一批中醫藥傑出青年醫學人才。廣東省中醫藥學會脊柱病專業委員會常委,廣東省中西醫結合學會骨傷科專業委員會和關節病專業委員會委員,普甯市專業技術拔尖人才,在省内享有較高學術聲譽。
熟練開展四肢骨折手術治療,頸、胸腰椎骨折内固定術,椎間孔鏡下椎間盤摘除術、椎體成形術、脊柱融合術、脊柱矯形術,以及各種關節置換術、關節鏡下前交叉韌帶重建術等脊柱微創手術和關節微創手術,複雜骨盆、髋臼骨折及各種皮瓣移植手術。擅長中西醫治療各種頸椎腰腿痛疾病及股骨頭壞死、類風濕關節炎等疾病。
下一篇:康美醫院護士節獲獎演講稿摘選











